|
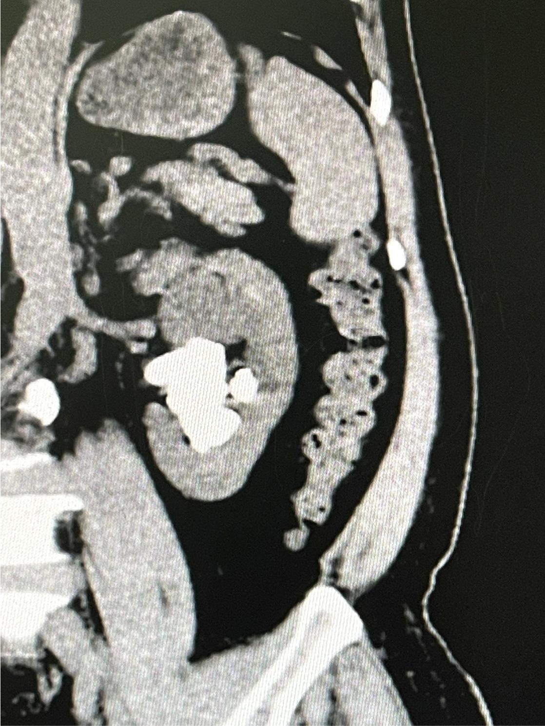
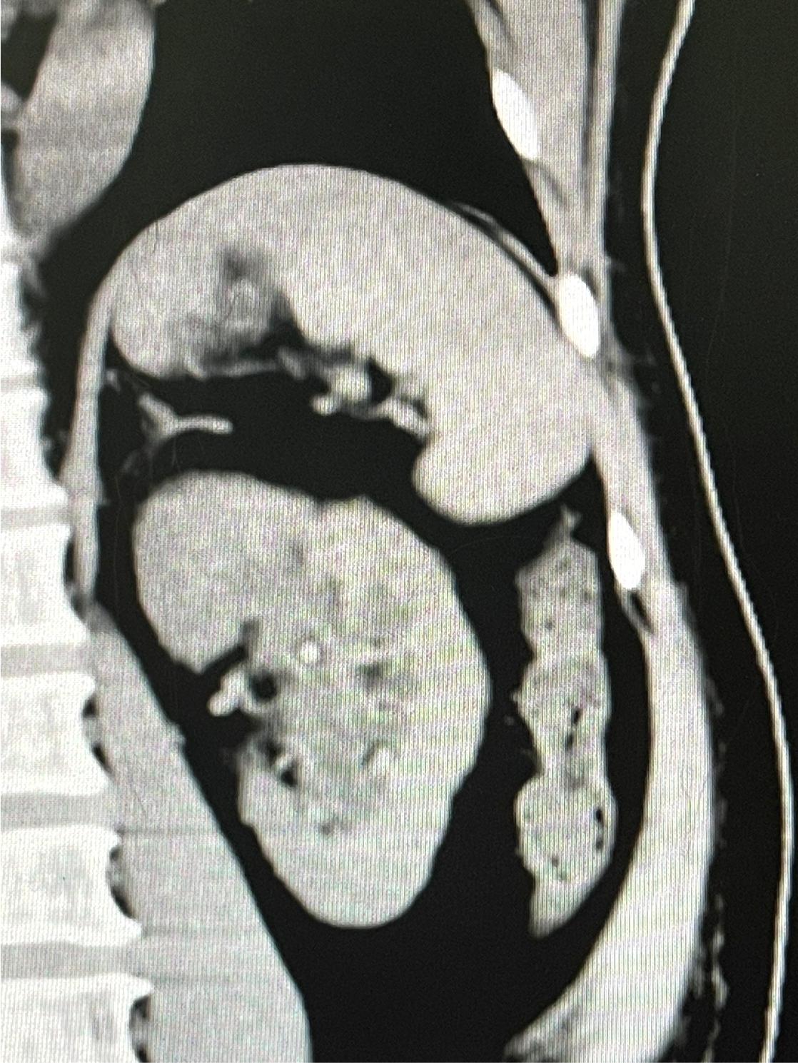
钦州宝顺医院副主任医师、泌尿外科专家、钦州宝顺医院副院长王宗绫 结石、前列腺、肿瘤一直是困扰男性泌尿系统健康的三大顽疾。作为医学技术人员,王宗绫以强烈的事业心和高度的责任感,视事业如生命,把破解泌尿外科难题当作一生的追求。自大学毕业从医20余年以来,日复一日,年复一年,他一直专注于泌尿外科的研究,不断努力提高自己的医术诊治水平,始终用真诚与爱心做一名病人满意、群众欢迎的好医生。 王宗绫认为,医生的职责就是为病人治好病和服务好病人。想要做一名好医生,为病人减轻痛苦、获得病人的认可,必须要有过硬的技术本领。为了充实和提高自己的专业理论水平和临床诊治能力,王宗绫始终将攻克泌尿外科难题与为群众提供精湛技术服务紧密结合起来,以解决复杂疑难泌尿系统疾病为己任。他远赴南方医科大学和广州医科大学进修1年,师从中国著名泌尿外科刘春晓和李逊教授学习先进的泌尿外科诊治技术以及尿路结石微创手术。平时不管工作再忙,他都要挤出时间学习专研专业理论或者了解国内外最新、最前沿的诊治技术发展情况。每遇到疑难病例、复杂手术,他常常要仔细查阅相关资料,反复推敲。
医心向党,初心如磐。王宗绫二十余年的心血都用在微创和超微创手术破解泌尿顽疾。他只是民营医院普通医生,给患治好病就是最高荣誉。(通讯员:黄孟林) |

手机版













